Bügelentnahme 14.09.2012

Begonnen von Pl4nl0s, 14. September 2012, 11:04:00

Vorheriges Thema - Nächstes Thema

Pl4nl0s

Hallo zusammen,

nach langem hin und her habe ich mich nun auch entschlossen meine Erfahrungen und Erlebnisse diesem Forum zur Verfügung zu stellen. Ich selbst habe durch viele Forenbeiträge, Blogs, Austausch per E-Mail/Telefon erheblich davon profitiert und sehe darin eine Art "Verpflichtung" auch meine persönlichen Erfahrungen zu schildern.

Die ursprüngliche TB-Operation ist zwar mittlerweile schon 2 1/2 Jahre her, aber der zweite Teil (Metallentfernung/Bügelentnahme) soll in wenigen Stunden in Berlin-Buch stattfinden.

Ich werde mich hier überwiegend mit der Metallentfernung auseinandersetzen bzw. eine Art Tagebuch führen. Meine Erfahrungen der ursprünglichen OP sowie Bilder vor und nach der OP kann ich in den kommenden Tagen zur Verfügung stellen (sowohl von der ersten als auch von der zweiten OP).


mr19markus88

viel glück dabei ;) hoffe du wirst nicht noch verschoben, wies bei mir beim einsetzen des bügels der fall war, musste 3 tage warten im KH bis ich in den op kam, und wurde schon mehrmals in op geschoben und wieder ins zimmer zurück wegen notfall^^
TB OP Berlin-Buch 21.7.2011 - 1 Bügel
ohne Komplikationen

Pl4nl0s

Hallo zusammen,

vorab: die Operation fand wie geplant am Freitag statt. Mittlerweile bin ich auch schon wieder zu Hause.
Kurze Zusammenfassung des Aufenthalts:

Tag 0
Die Operation konnte wie geplant am Freitag durchgeführt werden. Eig. sollte ich zwischen 14-15 Uhr operiert werden, aber die Schwester gab mir schon gegen 13:30 Uhr ein Signal, dass es gleich losgehen wird.
Aufgewacht bin ich ohne Schmerzen und konnte abends schon selbständig zur Toilette gehen. Die "Ente" musste ich also nicht benutzen ;).
Die Nacht verlief relativ gut. Ich konnte zwischen 6-7 Stunden schlafen - vollkommen in Ordnung meiner Meinung nach.

Tag 1
Auch am ersten Tag nach der OP keine nennenswerten Schmerzen. An den Drainagen zwickte es hin und wieder mal, aber das war auch nicht der rede wert. Erste größere Spaziergänge konnte ich rund ums Klinikgelände schon unternehmen.
Die Nacht verlief wieder gut - 6-7 Stunden schlaf.

Tag 2-3
Gleiches Spiel auch an den folgenden Tagen.
Schlaf hatte ich immer ausreichend (6-7 Stunden).
Am dritten Tag wurden die Drainagen gezogen, was ich schmerzhafter/unangenehmer in Erinnerung hatte. Damit konnte man sich auch wesentlich besser bewegen.
Schmerzen hatte ich weiterhin keine. Ich war lediglich noch nit so fit bzw. etwas schlapp. Vll kommt/kam das auch von der Narkose oder den Medikamenten und ist völlig normal. Schließlich sind auch erst 3 Tage seit der OP vergangen.

Tag 4
Am 4. Tag nach der Operation konnte ich das Krankenhaus wieder verlassen. Ich bin selbstständig mit dem ICE nach Hause gefahren. Verlief auch alles soweit ohne Probleme.

Am heutigen 6. Tag habe ich etwas Schüttelfrost. Fieber habe ich soweit glaub ich keins und Schmerzen sind auch nicht vorhanden. Die Narben sind weder gerötet, jucken oder nässen. Die rechte Narbe ist noch von der OP etwas geschwollen, diese Schwellung klingt aber bereits schon etwas ab.
Hat vielleicht jemand Erfahrungen mit Lungenentzündungen nach TB OP's? Habe sonst keinerlei beschwerden außer die oben genannten. Am kommenden Montag hab ich sowieso einen Termin bei meiner Hausärztin vereinbart und lass das dann auch mal abchecken.


Pl4nl0s

Anbei zwei Bilder vor der TB-OP im Jahr 2010

Pl4nl0s

#4
Das erste Bild entstand nach der TB-OP im Jahr 2010 im Klinikum Berlin-Buch.
Das zweite Bild entstand ca. 1 1/2 Jahre nach der OP.

Bilder nach und unmittelbar vor der Bügelentnahme folgen in kürze.

ex.pectus

Sehr schön, dass in letzter Zeit wieder vermehrt Erfahrungsberichte gepostet werden. (Und es dürfen gerne noch viel mehr werden.)

Zitat von: Pl4nl0s am 20. September 2012, 13:16:32
Am heutigen 6. Tag habe ich etwas Schüttelfrost. Fieber habe ich soweit glaub ich keins und Schmerzen sind auch nicht vorhanden. Die Narben sind weder gerötet, jucken oder nässen. Die rechte Narbe ist noch von der OP etwas geschwollen, diese Schwellung klingt aber bereits schon etwas ab.
Hat vielleicht jemand Erfahrungen mit Lungenentzündungen nach TB OP's? Habe sonst keinerlei beschwerden außer die oben genannten. Am kommenden Montag hab ich sowieso einen Termin bei meiner Hausärztin vereinbart und lass das dann auch mal abchecken.

Wieso Lungenentzündung?
Trichter-/Kielbrust Nuss-OP 22.10.2010 (43 J, m, 185 cm, 71,5 kg, Berlin-Buch Prof. Schaarschmidt)
2. OP=Bügelentfernung 20.11.2013 (Magdeburg, Dr. Lützenberg)
meine Trichterbrust-OP-Seite

Pl4nl0s

Hatte anfangs angst, dass ich mir eine Lungenentzündung eingefangen hab/haben könnte, aber das war/ist bisher nicht der Fall ;).
Wenn man in der Zeit nach der OP die Lunge nicht komplett "beatmet?", dann wäre man anfälliger für eine Lungenentzündung. (Durch zu flaches atmen, Pleuraerguss etc.)

Mein aktueller Zustand ist übrigens gut. Ich habe keine Beschwerden und die Medikamente habe ich schon seit einigen Tagen abegsetzt. Morgen sollen meine Fäden gezogen werden.

Florian_B

Wow, nach 4 Tagen entlassen ... das lief bei dir ja wie im Lehrbuch. Ich bin auf ein aktuelles Bild gespannt. Merkst du selbst, dass die Brust wieder merklich eingefallen ist? Weiterhin eine gute Besserung!
06.2007: Behandlung mit Saugglocke
08.2009: OP in Berlin-Buch
08.2012: Bügelentnahme in Berlin-Buch

Pl4nl0s

Morgen müsste es mit ein paar Bildern was werden. Muss die Bilder erst noch auf den PC ziehen.
Das Brustbein ist etwas "zurückgefedert", aber stört mich jetzt nicht wirklich. Das "geschulte" Auge von uns wird wohl einen kleinen Unterschied erkennen können.

Man kann auf den Bildern nach der ersten OP auch erkennen, dass der Trichter nicht komplett korrigiert wurde. Aber wir bewegen uns hier im Millimeterbereich. Ich will mich deshalb auch überhaupt nicht beklagen ;)

Die Narben scheinen äußerlich recht gut zu verheilen. Die rechte Narbe fühlt sich aber an einer Stelle sehr hart an. Hat jemand Erfahrungen damit?
Hab mir heute mal eine Narbensalbe (Contractubex) zugelegt. Morgen will ich mit der "Behandlung" beginnen.

Gruß

Pl4nl0s

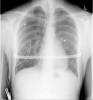
Anbei noch ein Bild während der Zeit mit Bügel

Vielleicht kann man es auf dem Bild etwas besser erkennen was ich im vorherigen Post mit "Millimeterbereich" meinte.
Wie gesagt, es geht hier nur um den Ansatz. Mit dem Ergebnis der OP bin/war ich zufrieden.

Pexc

Muß sagen, es sieht echt super aus.
(Nur) Bei Problemen mit dieser Seite und deren Benutzern oder bei Fragen zur Technik, schickt mir eine Privatnachricht.
Meine Bilder

Pl4nl0s

#11
Hallo zusammen,

vorab: sorry für die Verspätung, aber der Alltag holt einen doch recht schnell wieder ein....

anbei zwei Bilder unmittelbar vor der Bügelentnahme. Die Bilder entsanden vor der OP in Buch.

Pl4nl0s

und hier sind zwei Bilder nach der Bügelentnahme. Die Bilder sind wenige Minuten alt ;)
Ca. 3 Wochen nach OP


HelpHelp

Wenn man zur Bügelentnahme nach Berlin fährt, muss man vorher auch wieder ärztliche Unterlagen einholen? (z.B. Blutwerte oder MRT Bilder)

langbeine

Zitat von: HelpHelp am 15. Mai 2013, 22:25:22
Wenn man zur Bügelentnahme nach Berlin fährt, muss man vorher auch wieder ärztliche Unterlagen einholen? (z.B. Blutwerte oder MRT Bilder)

Hallo,

nein, das muss man nicht.
Keine Voruntersuchungen. Einfach den Einweisungsschein mit Stempel der Krankenkasse zur Metallentfernung.